成人矯正について

大人になってから始める矯正治療には、見た目だけでなく健康面でも多くの利点があります。 成人矯正とは、成長期を過ぎた成人が受ける歯列矯正を指し、歯並びを整えることで口元の印象が明るくなり、人前で話すことや笑うことに自信が持てるようになります。
さらに、噛み合わせの改善や、日々の歯みがきがしやすくなることによって、むし歯や歯周病の予防にもつながります。 ご興味のある方は、ぜひ当院へお気軽にご相談ください。
TROUBLE
このような場合はご相談ください
- 歯がでこぼこして並びが悪い
- 噛み合わせがしっくりこない
- 口元に自信が持てない
- フェイスラインを整えたい
- 目立たない矯正に興味がある
- 歯のお手入れをもっと簡単にしたい
成人矯正のメリット
審美性の向上
歯列が整うことで、口元の印象が洗練され、笑顔に自信が持てるようになります。会話や表情に積極性が生まれる方も多いです。
噛み合わせの改善
歯の位置を整えることで噛み合わせも改善され、肩こりや頭痛などの不調が軽くなる場合があります。
ケアが楽になる
歯並びが整うと、歯と歯のすき間に汚れが残りにくくなり、歯みがきがスムーズになります。結果として、歯石やプラークの蓄積も抑えられます。
滑舌が良くなる
歯並びの乱れが原因で舌の動きに制限がある場合、矯正によって滑舌が改善されることがあります。発音がより明瞭になる可能性もあります。
身体のバランス改善
噛み合わせや口まわりの癖が改善されると、体の歪みが緩和されることも。姿勢の改善につながる場合もあります。
歯科疾患リスクの軽減
磨き残しが少なくなり、セルフケアの効果が高まることで、むし歯や歯周病などのトラブルのリスクを抑えることができます。
当院の成人矯正
無料矯正相談による不安の解消
マウスピース型やブラケット装置など、成人の矯正治療にはさまざまな選択肢があります。「自分に合う方法はどれか」「費用や期間はどれくらいかかるのか」など、疑問をお持ちの方も多いのではないでしょうか。当院では、矯正を検討中の方に向けた無料相談を実施しています。気になることがあれば、ぜひお気軽にお問い合わせください。
後戻り矯正や難症例にも対応できる安心の治療体制
過去に矯正を受けたが後戻りしてしまった方、歯並びのわずかなズレが気になる方、または他院で治療が難しいと判断された方にも対応できる体制を整えています。日本矯正歯科学会の認定医をはじめ、経験豊富なスタッフが在籍し、状況に応じた最適な治療プランをご提案いたします。「無理かもしれない」とあきらめる前に、ぜひ一度ご相談ください。
豊富な臨床経験を活かしマウスピース矯正・ブラケット矯正に対応
当院には豊富な矯正治療実績があり、多くの成人の方にも対応してきました。透明なマウスピースを使用した審美性の高い治療から、幅広い症例に対応可能なブラケット矯正まで、目的に応じた治療をお選びいただけます。
白いワイヤーによるブラケット矯正にも対応しています。ブラケット矯正は、矯正治療の中でも歴史が長く、豊富な実績を持つ治療法です。複雑な歯並びにも適応できるため、幅広いケースで効果が期待できます。
先端設備による精度の高い検査・診断
当院では、矯正治療に入る前の検査と診断を非常に重視しています。歯科用CT、パノラマレントゲン、セファロ分析、口腔内スキャナーなどの先端機器を活用し、詳細な情報をもとに個別の治療計画を立てています。不安や疑問があれば、いつでもお気軽にご相談ください。
成人矯正歯科で使用する主な装置
マルチブラケット矯正

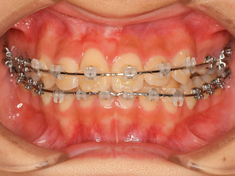
ブラケット矯正は、歯の表面に装着したブラケットにワイヤーを通して力をかけ、歯を移動させていく矯正方法です。長年使われている伝統的な治療法で、ほとんどすべての歯並びに対応可能です。金属製の装置が気になる方には、目立ちにくいセラミック製や白色のブラケットもご用意しています。
メリット
- 幅広い不正咬合に対応できる信頼性の高い治療法
- 細かい調整が可能で、見た目と噛み合わせの精度を追求できる
- 目立ちにくい透明ブラケットも選択できる
デメリット
- 装置を外せないため、食べ物が詰まりやすく、むし歯・歯周病のリスクが上がる
- 金属製の場合は装置が見えやすい
- 歯の移動時に痛みを感じることがある
マウスピース型矯正装置(インビザライン)

インビザラインは、透明な素材で作られた取り外し可能なマウスピース型の矯正装置です。従来のワイヤー矯正と比べて目立ちにくく、治療中も他人の目を気にせずに過ごせるのが特長です。個々の歯並びに合わせて精密に作られるマウスピースを装着することで、痛みや違和感が少ない快適な矯正が可能です。
ただし、症例によっては適応できない場合もあります。詳しくは当院までご相談ください。なお、インビザラインは厚労省が定める「完成物薬機法対象外」の装置であるため、医薬品副作用被害救済制度の対象外となります。
メリット
- 食事や歯みがきの際に装置を外せるため、日常生活への支障が少ない
- 装置が透明で装着していてもほとんど目立たない
- 金属を使用していないため、金属アレルギーの心配がない
デメリット
- 1日20時間以上の装着が必要で、自己管理が求められる
- 歯並びの状態によっては適応できないことがある
アンカースクリューを併用した治療
アンカースクリューは、矯正治療をより効率的に進めるために使われるチタン製の小さな器具です。これを歯ぐきに固定することで、特定の歯をピンポイントで動かすことができ、これまでヘッドギアなどを必要とした複雑な症例にも対応可能です。治療期間の短縮や、より高精度な歯の移動を目指せる現代的な技術です。
顎変形症の治療 (外科的矯正治療)
上下の顎の位置関係に大きなズレがある顎変形症の場合は、通常の矯正だけでは対応が難しく、外科手術との併用が必要になります。当院では、厚生労働省より顎口腔機能診断施設としての認定を受けており、このような外科的矯正治療にも対応しています。術前・術後の矯正治療は当院で行い、外科手術は提携する専門医療機関と連携して進めてまいります。
装置を装着した治療の流れ
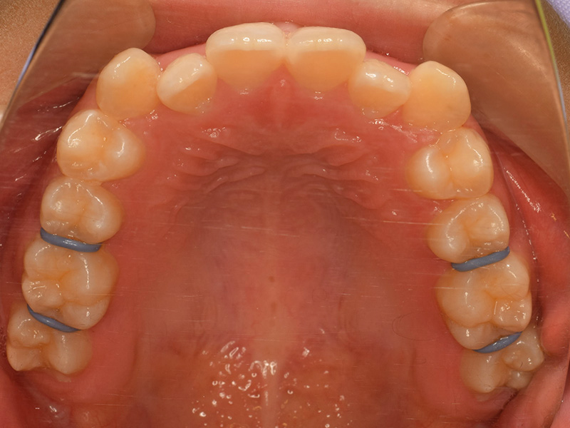
1、セパレーション

奥歯に隙間を作るために歯と歯の間にゴムを入れます。
2、バンドフォーミング

奥歯にバンドを作りワイヤーを通します。
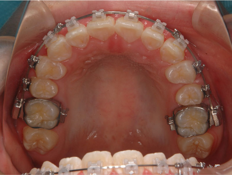
必要に応じてTAD(Temporary Anchorage Device)を使用する場合があります。TADとはミニスクリューを用いた矯正治療で前歯を後ろに下げたり、奥歯のコントロールをする際にTADを固定源にして歯を引っ張る装置です。
3、インダイレクトボンディング

当院では、インダイレクトボンディング法 (間接接着法)を取り入れています。
インダイレクトボンディング法とは、ブラケット(ワイヤーを通すために歯に装着する装置)を模型上に正確に位置づけし、専用のトレーを用いて装着する方法です。
当院では、目立ちにくいセラミックのブラケットを使用しています。
4、ワイヤーセット

奥歯にバンドを作り、ワイヤーを通しますお口の中に装置を全て装着し、歯を抜き終えたらワイヤーをセットします。
矯正治療のスタートです。

